Имплантация зубов по выгодной цене от 33 000 рублей
* За внутрикостную дентальную имплантацию системы Dentium (SuperLine)

Дентальная имплантация – современная методика, направленная на вживление искусственных корней в верхнюю или нижнюю челюсти.
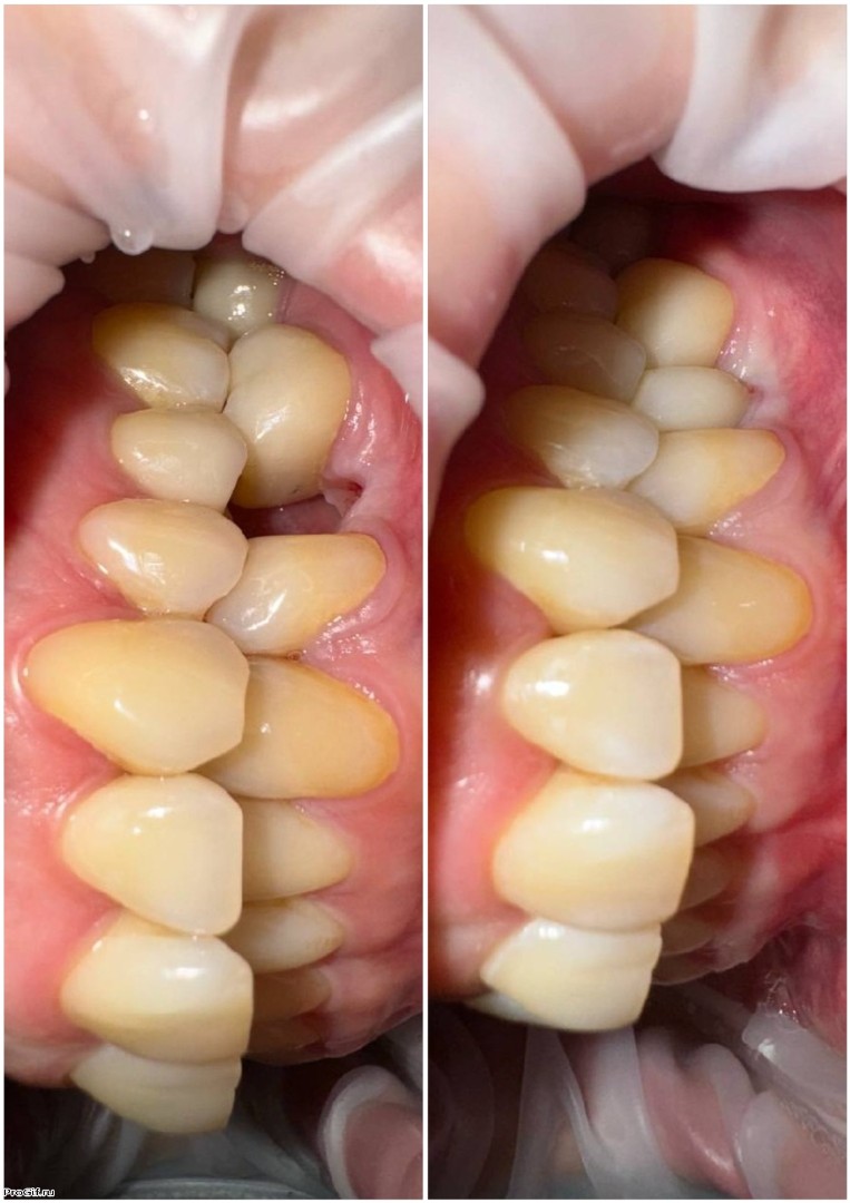
На имплантаты можно устанавливать как отдельные коронки (при восстановлении отдельных элементов зубного ряда), так и зубные протезы.
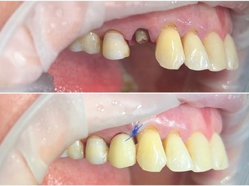
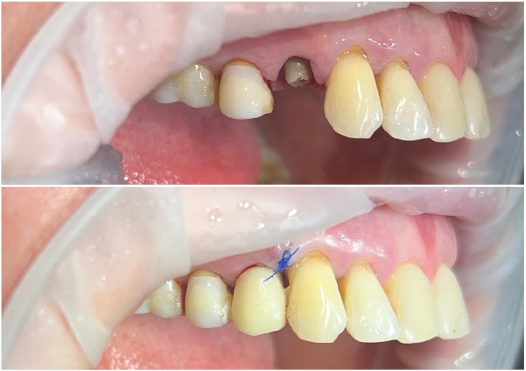
В нашей клинике мы осуществляем одноэтапную имплантацию – это метод, при котором имплант вживляется в десну сразу после удаления зуба за один прием и устанавливается временная ортопедическая конструкция (коронка).
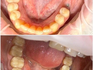
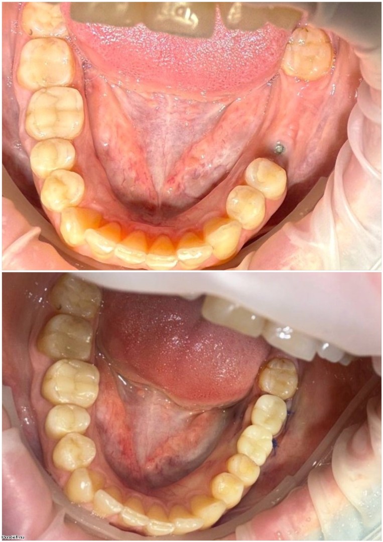
На первом этапе в челюстную кость устанавливаются дентальные импланты (искусственные корни). Затем 3-6 месяцев они приживаются в костной ткани (остеоинтеграция).
На втором этапе, по окончании периода остеоинтеграции, импланты нагружаются постоянной ортопедической конструкцией. Вот почему эту методику называют имплантацией с отсроченной нагрузкой.
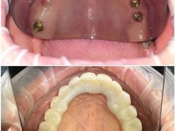
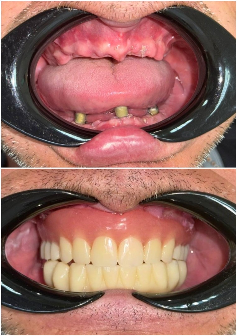
Протезирование на 4 или 6 имплантах современный вид имплантации и протезирования зубов, который позволяет установить несъемный протез с искусственными зубами пациентам с полной адентией (полное отсутствие зубов). Пациент получает новые зубы в кротчайший срок. Процедура достаточно быстрая и безболезненная.
После установки дентальных имплантов устанавливается временный несъемный протез, затем через 4-6 месяцев после полного приживления имплантов устанавливается постоянный несъемный протез.
Компания MIS (Medical Implant Technologies Ltd.) была основана в 1995г. и является частью холдинга Dentsply- Sirona (USA). Сегодня завод MIS — одно из самых крупных, масштабных, технологичных и быстроразвивающихся предприятий в области дентальной имплантологии.
Продукция MIS успешно продается в 75 странах, на 5 континентах через сеть официальных дистрибьюторов. Десятки тысяч стоматологов используют имплантаты MIS в своей работе, а миллионы пациентов доверили свое здоровье продукции MIS.
Имплантаты Dentium (Южная Корея) — это отличное соотношение цена/качество. Наша цель: оказать самую качественную стоматологическую помощь, учитывая ваш бюджет.