Хирургическая стоматология по выгодной цене от 800 рублей
* За удаление однокорневого зуба (подвижного)

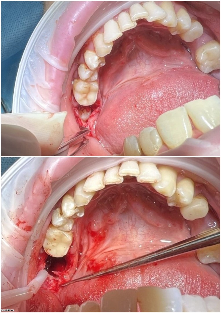
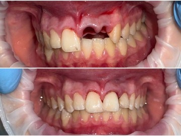
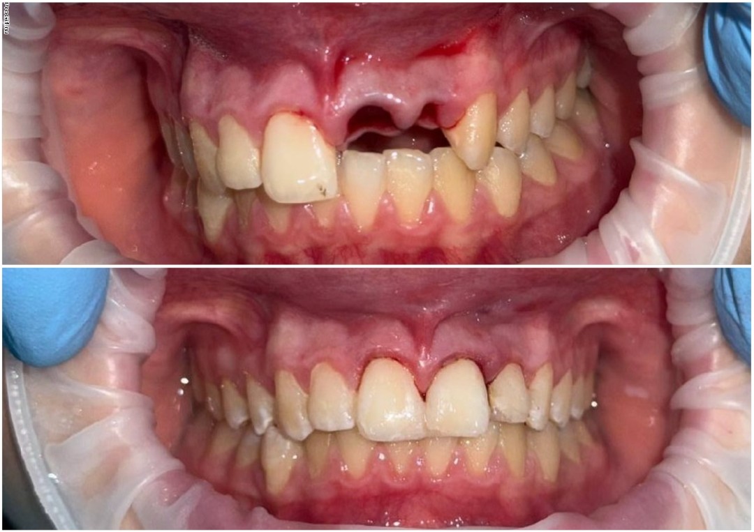
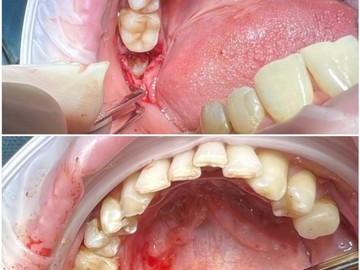
Специалисты нашей клиники выполняют хирургические манипуляции любой сложности. Мы стараемся выполнять данные процедуры максимально безболезненно и комфортно для наших пациентов.
Атравматичное удаление зубов – наиболее безболезненная и щадящая процедура, которая практически не травмирует десну и костную ткань.
Зуб извлекается частями, что позволяет не травмировать окружающие ткани.
В нашей клинике осуществляется удаление самых сложных «зубов мудрости». Обычно удаление зуба под местной анестезией занимает от 10-15 минут, но иногда процедура может занять 30 или даже 60 минут и более.