Лечение зубов по выгодной цене от 570 рублей
* За наложение пломбы светового отверждения

Терапевтическая стоматология — это вид стоматологии, направленный на профилактику, прогнозирование и лечение болезней ротовой полости, т.е. зубов, десен, слизистой оболочки и других зон.
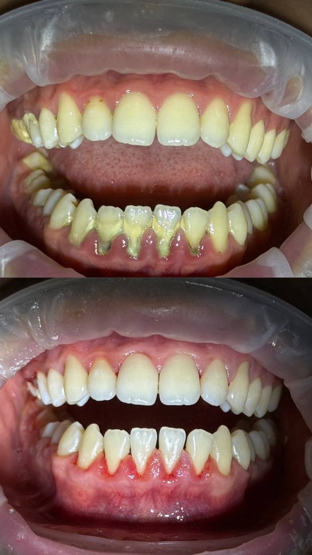
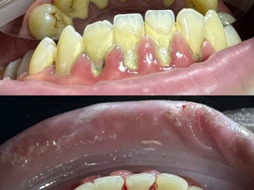
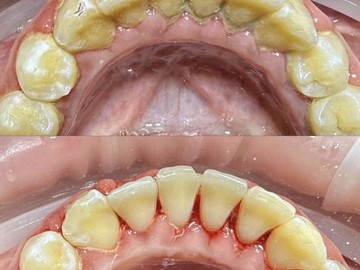
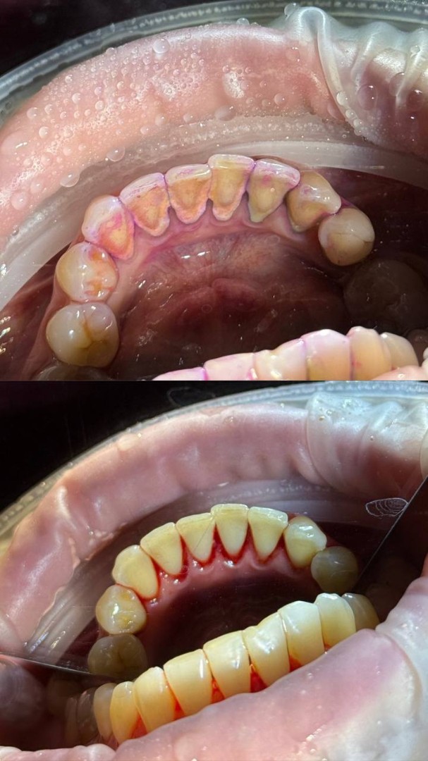
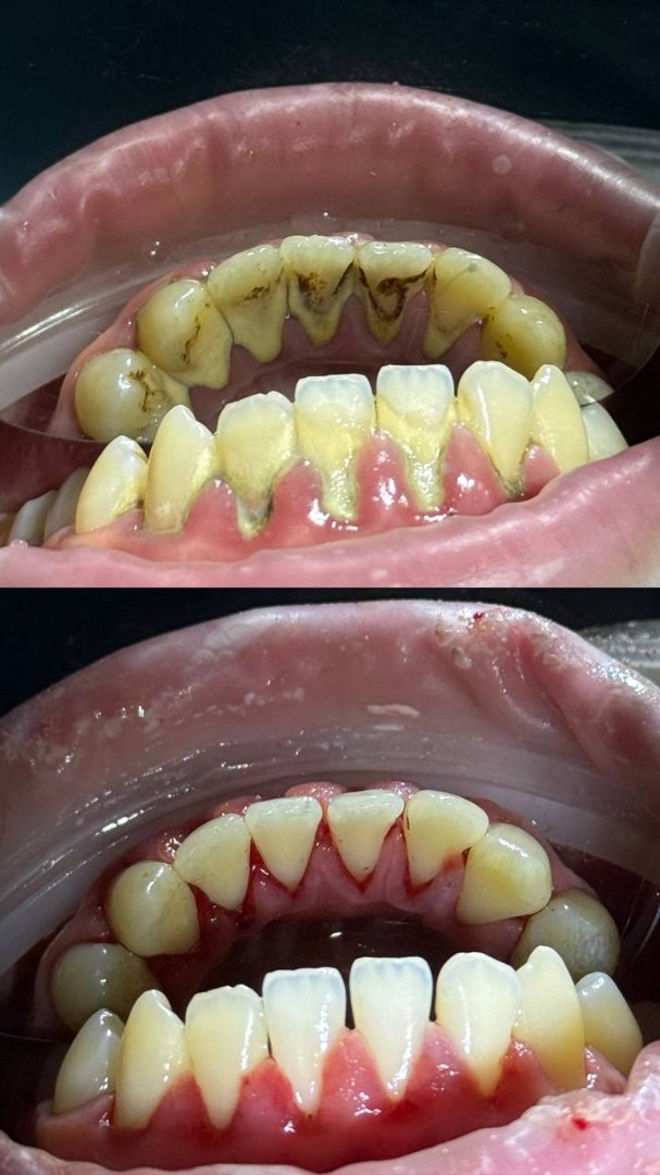
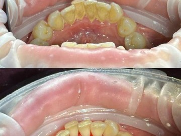
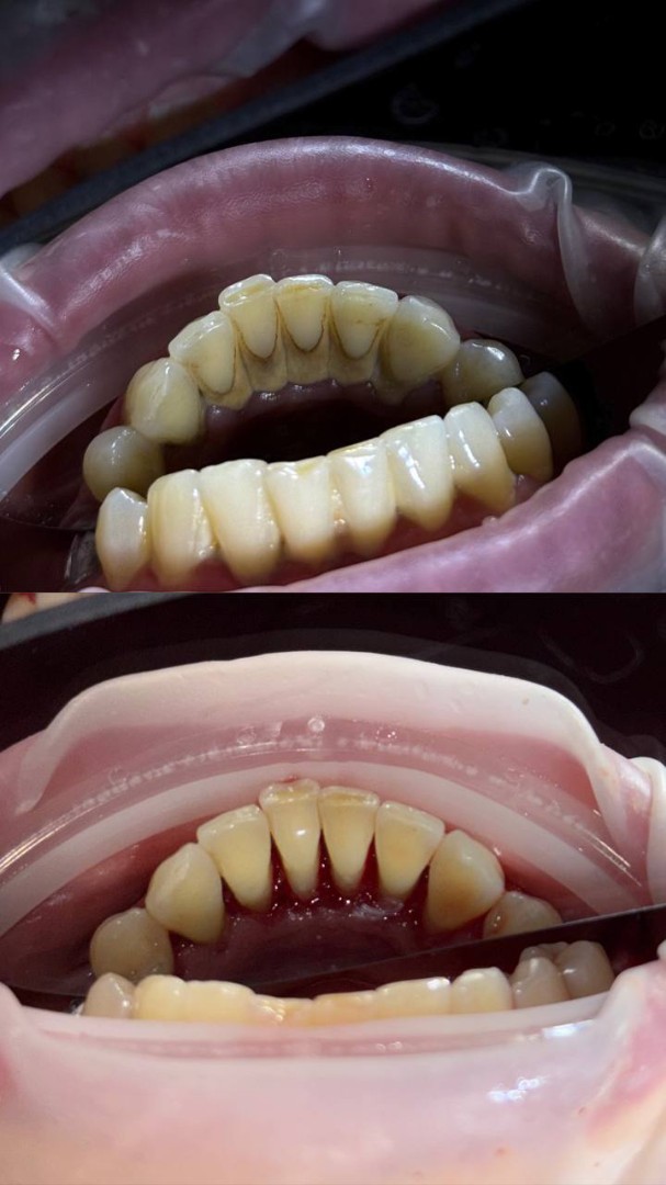
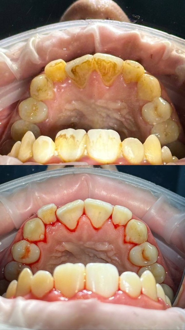
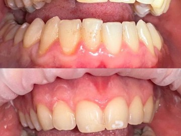
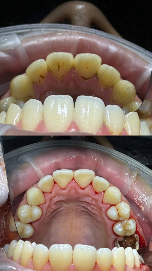
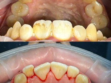
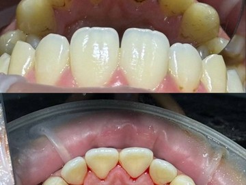
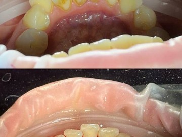
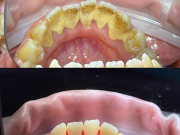
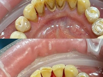
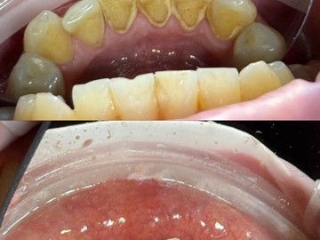
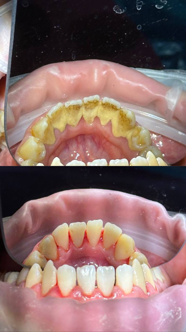
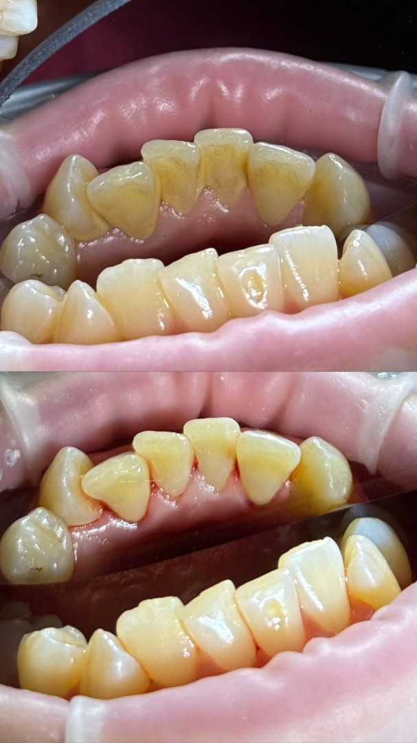
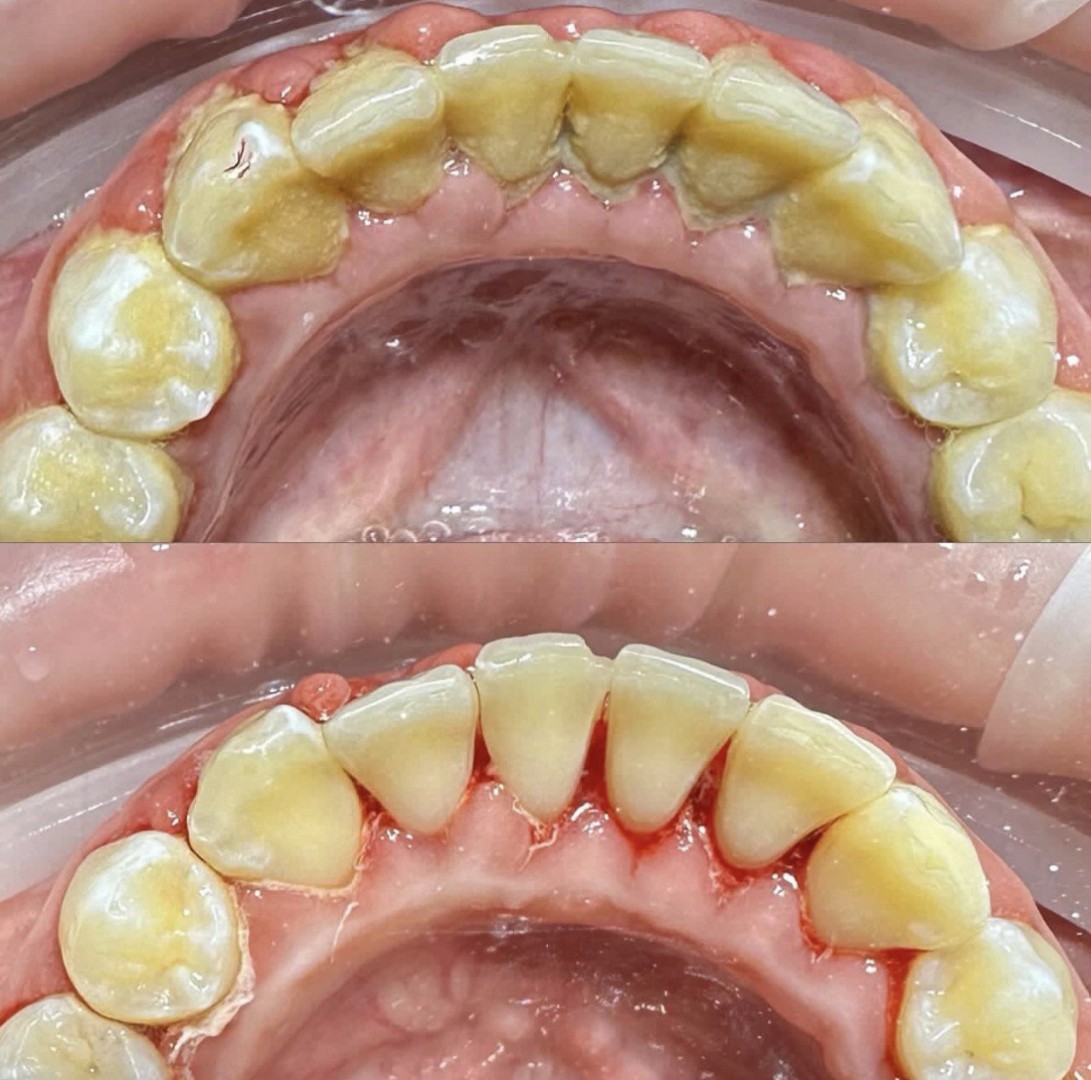
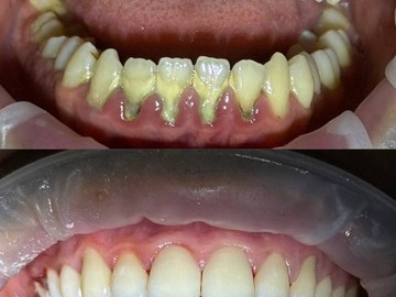
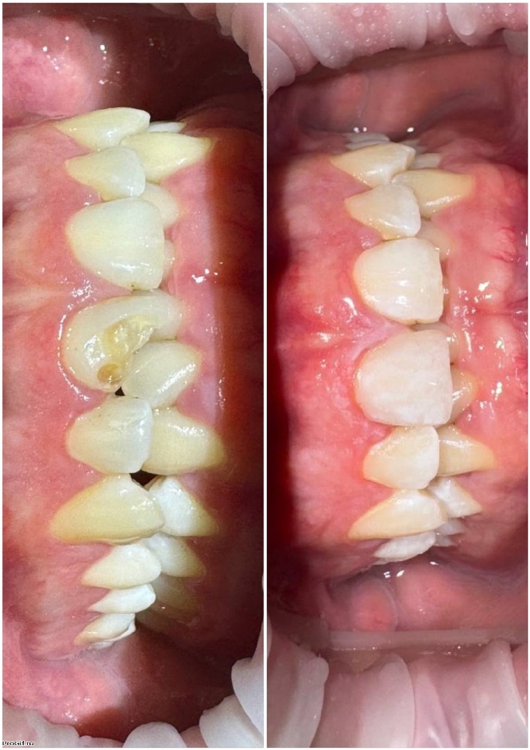
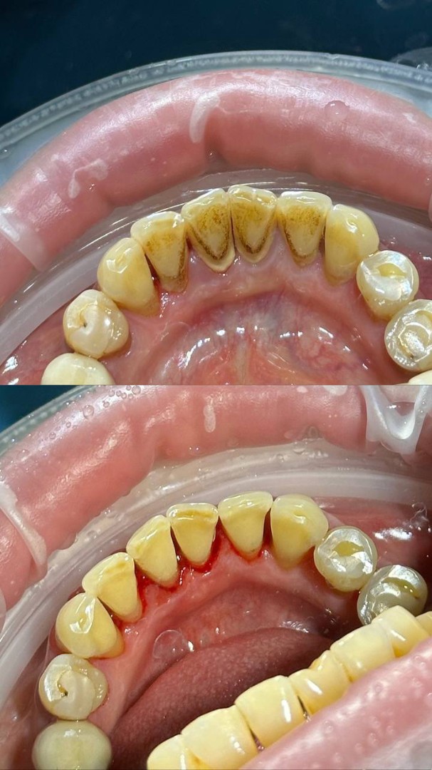
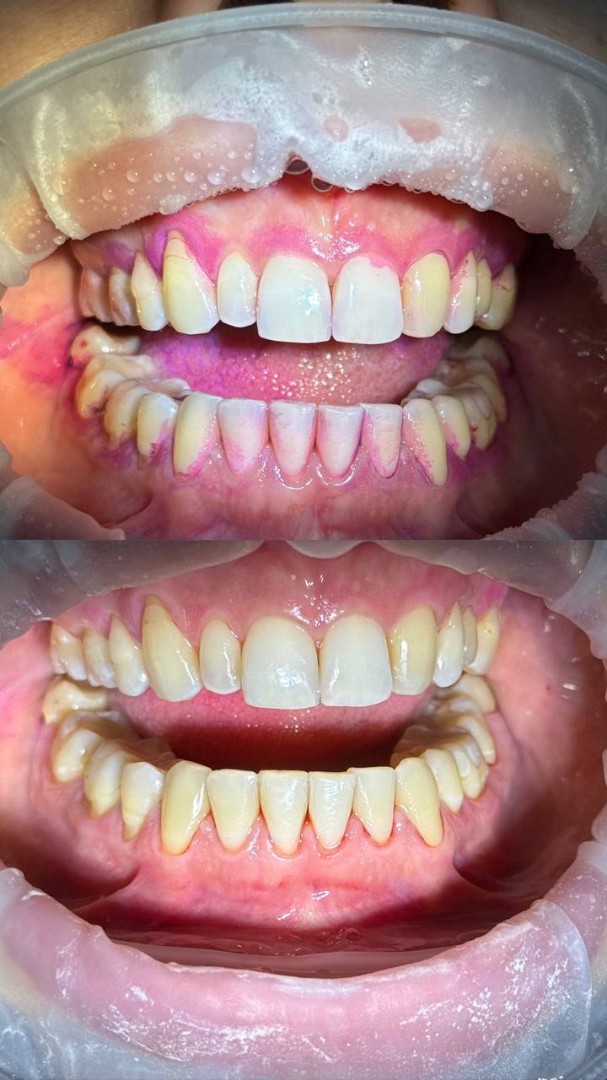
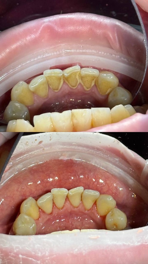
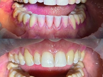
Главная задача проведения профессиональной гигиены полости рта в кабинете стоматолога - это удаление твердого и мягкого налета с поверхностей зубов, и иных областей и участков рта.
Данную процедуру нужно проводить раз в 6 месяцев, для профилактики кариеса и заболеваний пародонта.
Как и любая другая медицинская процедура, профессиональная гигиена имеет свои показания и противопоказания. К числу показаний относятся:
Завершается процедура подробной консультацией врача о дальнейшем уходе за зубам и полостью рта.
Пациенту даются рекомендации после процедуры.
Мы создаем максимально комфортную атмосферу во время приема. Стоматологические установки снабжены ортопедическими матрасами, что позволяет максимально расслабиться пациентам во время лечения. Так же в каждом кабинете установлен телевизор.
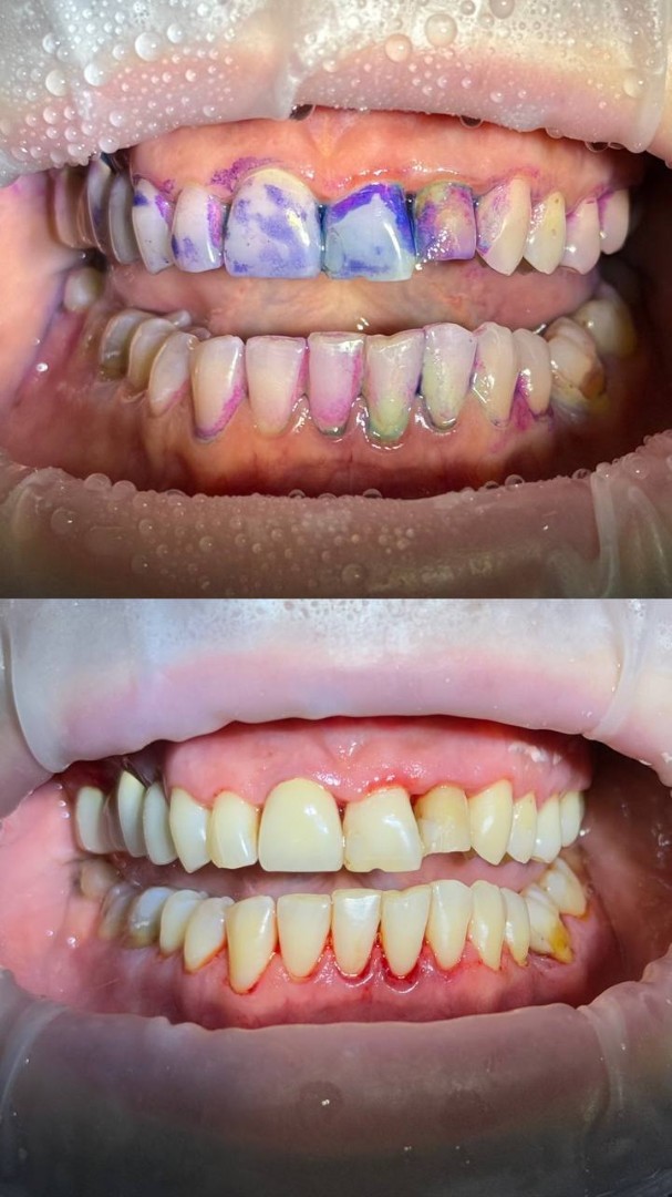
Кариес – одно из самых распространенных заболеваний зубов.
При возникновении кариеса повреждается зубная эмаль, если вовремя не начать лечение, то затрагивается твердая ткань зуба (дентин).
Лечить кариес нужно своевременно иначе развиваются такие осложнения, как пульпит и периодонтит.
Для предотвращения кариеса необходимо планово посещать стоматолога раз в 6 месяцев, так как начальная стадия кариеса это стадия «белого пятна», которое обычный человек не сможет достоверно оценить. Если же Вы заметили у себя на зубах темные точки, то необходимо в обязательном порядке посетить врача-стоматолога так как в дальнейшем процесс будет только усугубляться, что может привести к потере зуба.
Пульпит – это воспаление сосудисто-нервного пучка, который заполняет полость зуба. Чаще всего развивается из-за кариозного процесса.
Периодонтит – это заболевание, при котором воспаляется периодонт – ткань соединяющая корень зуба и челюстную кость.
Необходимо своевременно начинать лечение так как данные состояния могут привести к потере зуба.
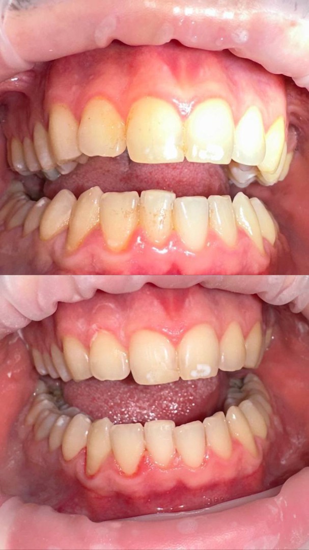
Реставрация зубов позволяет восстановить красоту улыбки.
Со временем на зубах появляются сколы и трещины. Реставрация зубов позволяет устранить дефекты эмали, восстановить форму, цвет и блеск зубов.